大家可能都知道
憋尿24小时会急性肾衰竭
吃了假猫粮或者百合
极有可能造成急性肾衰
其实急性肾衰竭只是急性肾损伤的一部分
急性肾损伤最大的特点就是晚期会发展成急性肾衰竭

图:网络
肾功能衰竭是造成中老年猫死亡的主要原因之一。肾脏疾病的原因包括年龄、遗传和环境因素,如摄入有毒物质。猫肾功能衰竭可以有两种,即急性肾衰和慢性肾衰。急性肾功能衰竭是肾功能的突然停止工作,从而导致肾功能的进行性恶化并最终导致慢性肾功能衰竭的结果。
今天宠小爱就跟大家聊聊猫咪急性肾衰那些事儿~
▽

〖宠爱国际病历本〗
宠物名:金三胖
性别:雄性
年龄:1岁5个月
品种:金渐层
体重:3.87KG
主诉病史
金三胖来宠物医院之前,在家里精神变差,食欲减退,有呕吐的现象,呕吐物为没有消化的罐头和白色泡沫。乱尿,周围有血,一天去十几次猫砂盆,每次尿量只有一点点,尿液呈粉红色。最近有发情,经常去舔丁丁。

在家乱尿有粉红色尿液
医院精神变差不愿走动

医院检查
临床检查:
℃,P190次/min,R35次/min,CRT<2s,眼、鼻腔、耳内无分泌物,口腔干净无口臭,体表淋巴结触诊无异常,心脏听诊无异常,肺部听诊无异常,腹部触诊膀胱坚硬,生殖器周围带血,其他暂未见异常。
实验室检查:
血常规:

血常规中白细胞升高,尤其以颗粒细胞为主,提示体内存在炎症反应;红细胞、血红蛋白、红细胞压积升高,提示体内脱水。
生化检查:

肌酐、尿素氮同时升高,提示肾脏损伤。
DR:

DR显示膀胱积尿较多,膀胱膨大,其他暂未见异常。

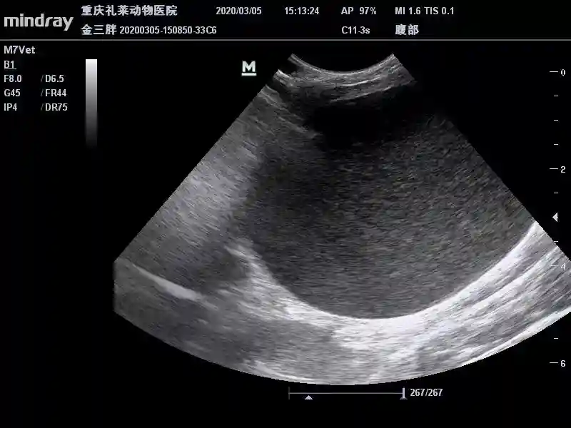
腹部彩超:


腹部彩超显示:膀胱内呈散在高回声声影,其他暂未见异常。
尿检:

导尿中尿道堵塞的栓子。

尿检检出:大量鸟粪石结晶。
初步诊断
鸟粪石结晶引起的膀胱炎,尿闭导致急性肾损伤
治疗方案
1.导尿,安置导尿管,每天冲洗膀胱一次
2.静脉输液,药物治疗
3.疼痛管理
治疗过程中,在第二天的时候三胖开始自主进食,精神明显比刚开始来的时候好。三天后(3月8号)取出导尿管,复查肾脏指标。肾脏指标降到正常范围内,白血胞数量和红细胞数量,血红蛋白含量,红细胞压积都恢复正常。取出导尿管后排尿刚开始带血,尿量较多,但是有不自主排尿的情况。治疗5天后(3月11号)接回家调理,每天保证200毫升饮食,吃泌尿道处方粮,每天口服药物,出院注射长效消炎针。回家后也有不自主排尿的情况,3月13日又有尿血的情况,于是安排住院治疗,复查膀胱B超,显示散在高回声声影。住院期间每天给与药物,一天3次。到了住院的第二天就没有不自主排尿的情况,尿量正常。一周后出院,回家后吃泌尿道处方粮,药物治疗直到排尿正常。
住院期间医院用的豆腐猫砂,金三胖尿后经常在生殖器处沾一些成团的猫砂,引起生殖器处红肿,尿频。更换成膨润土猫砂后没有再没有出现类似的情况。
肾脏指标复查:

肌酐和尿素氮恢复正常范围。


血常规恢复症状。
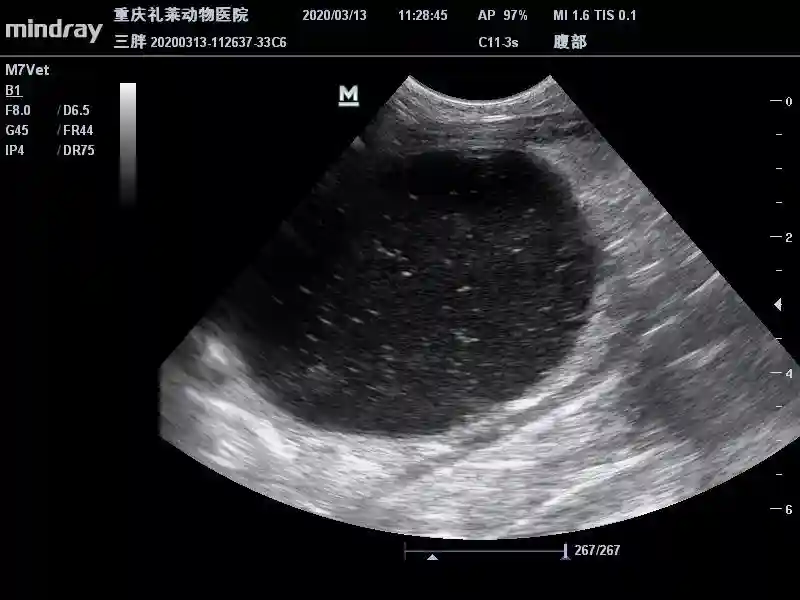
3月13日出现尿血。

3月13日B超复查

膀胱内呈散在高回声声影。
3月23日尿液正常:

3月23日B超复查膀胱:

膀胱内散在高回声声影减少,膀胱壁光滑。
猫咪已经康复如初。
病例讨论
猫下泌尿道疾病FelineLowerUrinaryTractDisease(FLUTD),发病率较高,尤其是以公猫为主。美国的DVM360网站统计了猫常见的十大疾病,FLUTD打败了牙周疾病和慢性肾病,位居该榜榜首。FLUTD主要表现为尿血、尿频,尿痛甚至尿闭,主要与尿结晶,尿结石,尿路感染等有关,但大多数情况下都是不明原因的自发性膀胱炎(FIC)造成。尿路结石和结晶中鸟粪石和草酸钙占80%—90%左右。本病例是鸟粪石引起的尿闭,再引起急性肾衰。治疗的当务之急是先解决肾损伤问题,安置导尿管,再建立静脉通路,把肾脏指标降到正常范围之类尤为关键。
治疗过程中出现反复的情况,对于充足的饮水和止痛要保症,如果猫猫回家后不自主饮水,需要家长用注射器给猫猫强灌,已达到充足的饮水量。止痛药的选择也许谨慎,如果出现呕吐和腹泻需要立马停止,给与胃肠道保护剂。猫砂的选择也比较重要,本病例中用豆腐猫砂引起了生殖器处沾上,并引起红肿和尿频的现象,选择尿不湿和膨润土猫砂都是可以的。有泌尿道问题的猫猫,发病期间生殖器处会很不舒服,猫猫会去舔舐生殖器,因为舌头上的倒刺较锋利,可能会引起红肿和充血的现象,治疗期间和后期需要佩戴伊丽莎白圈一段时间,尤其以软圈为舒服。该病比较容易复发,如果反复复发后,不能完全治愈,需要进行尿道造口术根本解决。
宠爱国际猫咪治疗实例
猫咪肾衰贫血,肾脏指标高,在其它医院输液治疗大半个月,指标还是高,于是通过宠物沟通师的介绍,找到我院看中医开中药调理。现在吃中药一两个月了,精神状态好多了,能吃能喝,还主动找人玩,主人说现在很明显能看出来它的舌头和脚掌肉垫比之前红润有血色了,非常开心。↓↓

整天科普多囊肾,这不,多囊肾来了!五岁的花椒今天精神不好,不吃东西前来就诊,查血之后发现已经出现了肾衰,随即做B超发现右肾已经没有完整结构了,整个都是囊状结构!住院治疗后的花椒慢慢恢复精神和食欲呀,并且精神状态越来越好↓↓

宠爱国际猫科
猫咪一种性情较为敏感易怒、防卫意识极强的小动物。相对于狗狗而言,猫的体型较小,器官、血管和同年龄段的狗狗相比都要小很多,对宠物医生的水平来说是一个考验。就连最简单的抽血化验,和静脉注射都需要更多细心和耐心。
宠爱国际猫科专业化诊疗中心得益于医院优异的猫病诊断及照护能力,包括猫的慢性口炎及慢性肾衰竭、异物手术、血球血液及气体分析、预防医学及老年猫医学等,给爱猫提供完善的医疗照顾,致力于猫科医疗质量与福利,并针对猫咪特质来教育猫咪家长对于看诊流程的配合,让猫咪能快乐上医院并将紧迫性降至更低。
当您家猫咪遇到危机情况来到宠爱国际后,医护人员会进行犬猫分诊,将猫咪和家长引导到猫咪专属候诊区,在猫咪诊室由熟悉猫咪习性的猫科医生根据具体病情进行专业处理治疗。就诊期间,宠爱国际的助理会用喷了费洛蒙的毛毯、猫屋等贴心举动,最大可能性降低猫咪的应激反应。作为一家宠物医院,宠爱国际永远都会站在守护小动物的第一线。
预防方案及康复后保健措施
医生,一般猫咪急性肾衰有啥症状呢?
常见的症状有:
1.尿频
比平时尿少或尿多,这个看病情的发展时期,比如急性的话,一开始是少尿期甚至无尿,然后才进入多尿期。
2.恶心呕吐,厌食,逐渐消瘦
因为肾脏功能衰减,通过尿排出的毒素和废物就减少,猫咪就会身体脱水感觉口渴,会想喝更多的水,但是补来的水还是无法排除干净毒素废物,恶性循环。
3.贫血
血液中磷含量升高,引起骨骼中的钙流向血液,造成骨骼缺钙容易损伤。
医生,一般急性肾衰竭如何预防呢?
1.增加饮水量,鼓励排尿,减少结晶形成的时间。
2.避免摄入过量的镁离子,钙离子,磷离子的摄入。
3.定期体检,复查尿检和腹部B超,早发现,早治疗。
医生,作为患宠家长在治疗之后,平时有哪些饲养需要注意?
1.长期吃泌尿道处方粮,至少半年以上,会助于饮水和减少镁离子,钙离子,磷离子等摄入,还会舒缓膀胱压力。
2.口服相关药物至少半个月以上,有助于膀胱黏膜的修复。
3.保证充足的饮水,最好用自动饮水机。如果饮水量不够需要主人强灌。
4.止痛药至少吃一周时间,缓解疼痛。
主治医师






















