引言
胶质母细胞瘤是最致命的原发性脑肿瘤,携带着能够启动和维持恶性表型并增强治疗抵抗力的胶质母细胞(GSCs)。尽管PTEN在胶质母细胞瘤中经常发生突变,但PTEN在PTEN完整的GSCs中的功能和调控尚不清楚。
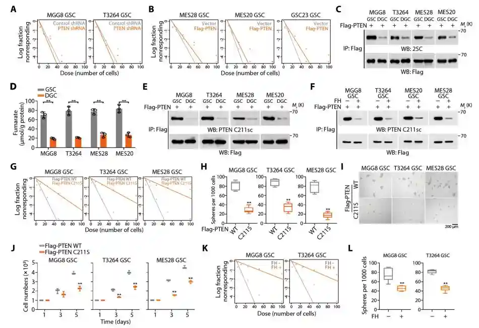
2024年3月20日,南京医科大学钱旭,尤永平和汪秀星共同通讯在ScienceTranslationalMedicine在线发表题为“ReactivatingPTENtoimpairgliomastemcellsbyinhibitingcytosoliciron-sulfurassembly”的研究论文,该研究发现PTEN直接与MMS19相互作用,并竞争性地破坏分化的胶质瘤细胞中基于MMS19的细胞质铁硫(Fe-S)簇装配(CIA)机制。与匹配的分化的胶质瘤细胞相比,PTEN在GSCs中的胱氨酸(C)211位点特异性地发生琥珀酸化。同位素示踪结合质谱分析证实,由于在GSCs中高度活化的新生嘌呤合成途径中由腺苷琥珀酸合酶(ADSL)产生的富马酸促进了PTENC211的琥珀酸化。这种修饰取消了PTEN与MMS19之间的相互作用,重新激活了GSCs中的CIA机制途径。
在功能上,通过重新表达PTENC211S突变体,通过shRNA去除ADSL,或通过美国食品药品监督管理局批准的处方药乙酰半胱氨酸(NAC)消耗富马酸,抑制了GSC的维持。通过重新表达PTENC211S或使用NAC治疗使GSC源性脑肿瘤对于替莫唑胺和放射疗法,即胶质母细胞瘤患者的标准治疗,产生了敏感性,通过减缓CIA机械介导的DNA损伤修复。这些发现揭示了一种立即可行的策略,通过重组NAC的联合治疗来靶向GSCs治疗胶质母细胞瘤。

胶质母细胞瘤(GBM)是最常见和最恶性的原发性脑肿瘤。目前的治疗方案是最大限度地切除手术,随后进行同时化疗和放疗以及辅助化疗,但只能提供缓解治疗,从诊断时间算起,患者的中位总生存期不到15个月。
GBM含有由胶质母细胞(GSCs)强化的多种细胞群的细胞层级结构,这些细胞群在功能上通过广泛的自我更新和多线分化来定义。GSCs在体内形成的肿瘤与患者肿瘤相似,使它们成为脑肿瘤研究的良好模型。GSCs对传统化疗和放疗的抵抗与非干细胞或分化的胶质细胞(DGCs)相比也支持了它们在临床上的重要性。利用GSCs的调节可能为改善GBM患者的临床结果提供关键信息。
PTEN是一个众所周知的肿瘤抑制基因,它转移到细胞膜上,在那里通过去磷酸化和抑制磷脂酰肌醇3-激酶(PI3K)信号来抑制磷脂酰肌醇(3,4,5)-三磷酸(PIP3)依赖性过程,如AKT的膜招募和活化。我们最近报告了PTEN的琥珀酸化,这是PTEN的最近鉴定的翻译后修饰之一,阻碍了它在细胞膜上的定位,从而减弱了它对PI3K/AKT途径的抑制作用。
除了通过其脂质磷酸酶活性对PI3K/AKT的抑制作用外,我们报道了PTEN作为蛋白质磷酸酶的功能,它去磷酸化磷酸化的磷酸甘油酸激酶1(PGK1),抑制了PGK1的糖酵解酶活性,从而抑制了糖酵解和脑肿瘤的生长。除了其脂质和蛋白质磷酸酶活性外,PTEN作为一个复合调节因子,展示了复杂的机制,包括调节染色质稳定性、DNA损伤修复和基因转录。尽管在GBMs中经常发生突变,但在大量GSCs中发现PTEN是完整的。然而,PTEN在GSCs中的调节和临床意义尚未明确定义。
优先吸收铁是GSCs的特点之一。铁硫(Fe-S)簇是许多参与基本生物过程的蛋白质的无机辅因子。生成这些簇需要线粒体Fe-S组装机和细胞质铁硫(Fe-S)簇组装(CIA)机的成员之间的协调活动。后一条途径充当一个通道,其中Fe-S含量的辅因子从线粒体Fe-S组装中生成,并通过一系列蛋白质最终被结合到调控细胞周期或DNA复制和修复的细胞质或核蛋白中。这个过程的一个关键终端适配器是MMS19同源物,它与许多重要的DNA代谢和DNA损伤修复相关的蛋白质结合。已经鉴定了CIA机械途径中的核心组装蛋白和特定的Fe-S靶向蛋白。然而,CIA机械途径的调节仍然是一个巨大的空白。

PTEN在C211位点的琥珀化对GSC的维持至关重要(Credit:ScienceTranslationalMedicine)
该研究证明PTEN直接与MMS19相互作用,并竞争性地干扰了依赖于MMS19的CIA机械。在GSCs中高度活跃的嘌呤合成途径为PTEN在C211位点(PTENC211sc)的琥珀酸化提供了丙二酸,这消除了PTEN与MMS19之间的相互作用,从而减轻了PTEN对CIA机械的抑制作用,促进了GSC的维持和脑肿瘤发生。
责编|探索君
排版|探索君





















