
“中风”(Stroke)又称“脑卒中”、“卒中”,是一种急性脑血管疾病,通常被认为是一种“老年病”。
中风具有发病率高、致残率高、死亡率高、复发率高和经济负担高的“五高”特点。国家卫健委最新发布的统计数据显示,我国卒中患病总人数超过2800万,每5位死亡者中就至少有1人死于卒中。
近年来,中风趋于年轻化,35岁以下人群发生中风占总数的9.77%。由于不健康的生活方式,有大量人群患有高胆固醇、高血压、肥胖、糖尿病和心血管疾病,而这些疾病都是中风的主要危险因素。
中风后,身体发生了什么?中风是一种由脑部供血中断或大量减少造成的脑部损伤。因为脑部氧气及营养供应切断,脑细胞在数分钟内开始死亡。

缺血性中风和出血性中风示意图图源:StrokeAwarenessFoundation
中风分为缺血性中风和出血性中风。
缺血性脑卒中又称为脑梗死,是由于脑血管堵塞、血液不能到达脑部而引起的。
出血性脑卒中,是由于脑血管破裂、出血而引起的。

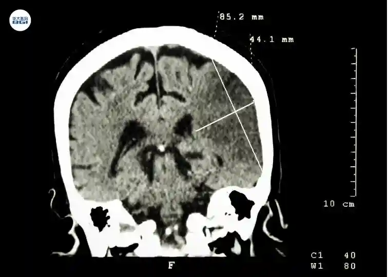
脑部CT,显示病人左半球脑梗塞(缺血性中风)
由于发病急、病情进展迅速、后果严重等特点,中风会引起患者出现肢体瘫痪、语言障碍、吞咽困难、认知障碍、精神抑郁等症状。
中风后要掐人中?要放血?坊间传闻,如果遇到中风这种急发性的疾病,可以采用掐人中和放血的方式进行急救。但这些急救方法并不靠谱,如果没有妥善处理,可能会使病患的病情更严重。

人中,是鼻子与上嘴唇正中间的一条浅沟,这个穴位是人体非常敏感的一个部位。而掐人中只是通过穴位刺激病人痛感,再根据患者对疼痛刺激的反应判断其意识状态。
在按压人中时,经常将下颌一起压下,会加重舌根后坠而引起气道阻塞;中风后有些人昏迷时伴有呕吐现象,如果此时掐人中,会关闭口腔,引起呕吐物气道反流,导致窒息。
中风病人送至医院时,医生经常会发现病人的手指被戳出血痕,家人通过“放血”的方式进行急救。
但不论是缺血性中风或出血性中风,中风时患者脑部会局部血压升高,血流及氧气减少。此时身体会启动保护机制,使全身血压升高,以便让血流能大量灌注脑部挽救濒死的脑细胞。
此时如果在神经纤维众多的指尖做针刺放血,可能会因为高强度的疼痛刺激,引起痛觉的传导以及交感神经的兴奋,反而会使血压升高影响病情。
中风后该怎么办?中风后,应该将患者第一时间送至医院。
发生卒中后,每分钟大约有190万个脑细胞死亡,脑组织及其所支配的运动、语言、认知及情感等多个功能也将同步逐渐丧失,但如果卒中症状能够被早期识别,患者在发病后的4.5小时之内被及时送至有救治卒中患者能力的医院,得到规范的血管开通治疗,多数患者可以明显恢复,甚至完全恢复。

因此,及时发现卒中的早期症状极其重要,越早发现,越早诊治,治疗和康复效果也就越好。为了方便大家记忆,可以通过使用“FAST”口诀来快速识别中风征兆:

中风“FAST”识别方法图源:
F=Face︰脸部出现不对称,口角歪斜。
A=Arms︰检查两只胳膊;平行举起胳膊,手臂无力。
S=Speech︰出现聆听语言言语模糊,表达困难。
T=Time︰如果出现上述脸部、臂膀和语言的问题,应立即拨打急救电话送医院,快速获得治疗可以挽救生命并改善康复。





















